Teeth Cleaning and Hygiene for Kids.
Happy & Healthy Smiles for All Ages From Our Caring Dentist for Children

Creating a Positive and Fun Dental Experience for Children
- Dental visits are designed to be fun, lighthearted, and comfortable.
- Early experiences shape how children view dental care for life.
- Our team speaks gently and treats every child with love and care.
- Kids are cared for as if they were part of our own family.
- Simple, easy-to-understand words are used when explaining treatments.
- Parents are always kept informed and involved.

We arrange Same-Day appointments for Children
If your child requires urgent dental care and is experiencing discomfort, we will promptly arrange a same- day appointment to address their needs.

Trusted Children Dentist in Austin for Healthy Smiles
Personalized, Calm Environment
Your practice delivers gentle, affordable, high-quality care in a welcoming, relaxed atmosphere for families of all ages.Fun, Fear-Free Visits for Children
We emphasize lighthearted, positive early dental experiences to help children develop a lifelong confidence in oral health.State-of-the-Art Technology & Quality Materials
Hapii Dental uses the latest dental technology and top-grade materials to ensure safe, effective, and comfortable treatmentComprehensive Children’s Services
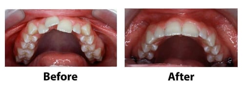
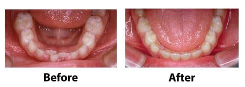
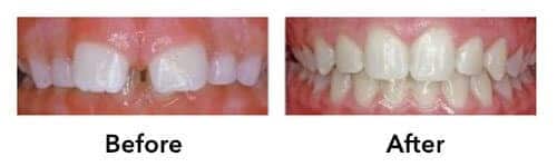
From cleanings and exams to fluoride, digital X-rays, root canals on baby teeth, sports mouthguards, tooth-colored fillings, and extractions—your offerings are broad and tailored for growing smiles.
Our Services
Digital X-rays
Children's Cleanings & Exams
Root Canals on Baby Teeth
Fillings and Crowns

Immediate Relief for Little Smiles
Parents trust us to provide immediate relief and expert care for their children’s dental emergencies. Your child’s well- being is our priority!
Common Dental emergencies include:
- toothache
- cracked tooth
- knocked out tooth
- Tooth Colored Fillings
- Root Canals on Baby Teeth
Unleash The Joy of Dentistry with our Special Amenities for Kids!

Interactive Lumplay in the Waiting Room

Prizes and Toys

Ceiling TV’s with Netflix,
Disney + and Youtube
We provide special amenities for kids to make their dental experience
more enjoyable and comfortable!

Why Families Trust Our Kids Dentist for Lasting Oral Health
- Friendly, welcoming environment that puts children at ease
- Gentle care that reduces fear and builds confidence
- Clear communication with parents at every step
- Modern technology and high-quality treatments
- Genuine commitment to healthy smiles in the community








